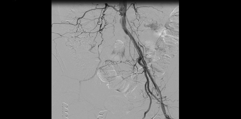
Evolve 2014 / ILIAC INTERVENTION

  • PRE-OP ANGIO
  • RIGHT ILIAC STENT OCCLUDED
  • EMBOLECTOMY BEING DONE
  • BALLOONING OF STENT
  • GOOD OUTFLOW IN THE END

Department of Vascular & Endovascular Surgery,Sir Ganga Ram Hospital, New Delhi

Clinical Presentation

• 43 yrs old male, chronic smoker

• C/o Rest pain & Gangrene Rt great toe in Oct 2011 ; Rt great toe amputation done outside

• Progressive non healing stump – underwent multiple debridements ; ended up with Syme’s amputation in Nov 2012

• Presented to us with non healing wound right ankle and gangrene left foot (1/2/3/4 toes) in March 2013

Clinical Presentation

• Angiography : B/L Iliac artery stenosis ( R-80%, L-50%) with B/L SFA occlusion distal to adductor canal extending onto popliteal artery

• B/l Iliac artery stenting with left femoro-popliteal bypass done in March 2013

• Amputation of left 1st to 4th toes done •Wound healing achieved

• Now presented with rest pain and non healing ulcer over right leg amputation stump since Jan 2014

PLAN

RIGHT GROIN EMBOLECTOMY sos RIGHT ILIAC STENTING

Other

VENOUS ANGIOPLASTY

Dept of Vascular & Endovascular surgery Sir Ganga Ram Hospital, New Delhi

FLUSH SFA OCCLUSION

Dept of Vascular & Endovascular Surgery Sir Ganga Ram Hospital ,New Delhi

AN INTERESTING CASE OF RECURRENT POPLITEAL ARTERY ANEURYSM

Department of Vascular & Endovascular Surgery,Sir Ganga Ram Hospital, New Delhi

SFA AND POPLITEAL ANGIOPLASTY

Dept of Vascular & Endovascular Surgery Sir Ganga Ram Hospital New Delhi

A case of BTK angioplasty

Department of Vascular & Endovascular Surgery,Sir Ganga Ram Hospital, New Delhi

RIGHT ILIAC ARTERY STENTING

Department of Vascular & Endovascular Surgery,Sir Ganga Ram Hospital, New Delhi

ILIAC ANGIOPLASTY

Department of Vascular & Endovascular Surgery,Sir Ganga Ram Hospital, New Delhi

RIGHT LOWER LIMB ISCHEMIA-AN INTERESTING CASE

Department of Vascular & Endovascular Surgery,Sir Ganga Ram Hospital, New Delhi

A CASE OF BILATERAL CAROTID STENOSIS

Department of Vascular & Endovascular Surgery, Sir Ganga Ram Hospital, New Delhi